惊!七旬老人“腹大如鼓”,市五院妇产科连克难关为老人切除7斤巨大盆腔肿瘤
发表时间:发布时间:2021-07-05 浏览次数:11714
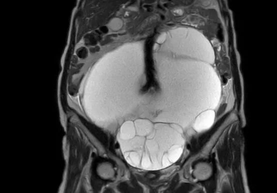
72岁的邓阿婆,平时身体硬朗,每年定期体检,却独独没有做妇科体检。一段时间以来,邓阿婆察觉到自己的肚子越来越大,起初以为是自己长胖了就没在意。直到家人发现邓阿婆的肚子大得如同怀孕七八个月,才于近日带她到珠海市第五人民医院就诊。经过彩超检查及MRI检查,发现一个巨大肿瘤完全占据了邓阿婆的盆腹腔,大小约252mm*223mm*94mm,犹如一个大西瓜。同时,医生还发现邓阿婆患有宫颈高级别鳞状上皮内瘤变(CINIII,宫颈癌前病变)。
针对邓阿婆的病情,市五院妇产科组织全院多科室会诊。经过全面的评估与讨论,制定了缜密的手术方案。在充分做好术前准备后,市五院妇产科副主任刘小红带领团队迅速为邓阿婆实施巨大肿瘤切除及全子宫切除术。术中,妇产科团队克服患者盆腔肿物巨大暴露困难、与周围组织黏连紧密等不利因素,在麻醉医师与手术室高效协同配合下,手术过程顺利,完整切除7斤重的盆腔肿瘤。冰冻病理结果提示卵巢浆液性囊腺瘤,为良性肿瘤,等在手术室外的家属得知结果后,悬着的心终于放了下来。此次手术,手术团队同时解决了邓阿婆巨大肿瘤问题和宫颈癌前病变问题。术后,在医护团队的专业精心护理下,邓阿婆不仅感觉腹部轻松了,心情也放松了,身体很快恢复如常,日前已顺利康复出院。“我现在吃饭、睡觉、走路,感觉一身轻松,重获新生的感觉真好!”困扰自己的大肚子消失了,邓阿婆露出了开心的笑容。为表示感谢,邓阿婆和家属专程送来一面鲜红的锦旗,并向刘小红副主任及妇产科团队紧紧握手致谢。
刘小红副主任介绍,卵巢肿瘤是女性最常见的妇科肿瘤,有各种不同的性质和形态,即一侧性或双侧性、囊性或实性、良性或恶性,其中以囊性多见,有一定的恶性比例,可发生于各年龄段女性。卵巢肿瘤在早期不易发现,仅在体检时B超发现,巨大卵巢良性肿瘤也可以占满整个盆腹腔,当肿瘤生长迅速时需要警惕恶性化。宫颈高级别鳞状上皮内病变(传统的宫颈癌前病变),宫颈癌早期可以在发生同房后阴道流血、反复阴道炎、阴道排液,也可以无任何不适,仅在妇科体检宫颈癌筛查时早期发现。当妇科体检发现宫颈病变时,需要遵循三阶梯筛查:1.TCT+HPV检查;2.阴道镜检查;3.宫颈活检。刘小红副主任提醒广大女性,很多妇科疾病初期都没有什么症状,只有在体检的时候才能被发现。因此,建议女性朋友定期进行妇科体检(每年一次)、宫颈癌筛查,这对于妇科肿瘤的早期发现、早期治疗至关重要。
近年来,市五院妇产科积极开展多项新技术,诊疗能力得到迅速提升。今年5月,市五院与南方医科大学珠江医院建立妇产科专科联盟,全国知名妇产科专家王沂峰教授带领团队,以两周一次的频率到市五院坐诊及手术,以国内一流的诊疗能力造福周边患者。

